Will Insurance Cover Invisalign - 3 Reasons Invisalign In Windsor Ct Is Worth The Cost Day Hill Dental Blog Day Hill Dental Blog
Get link
Facebook
X
Pinterest
Email
Other Apps
Will Insurance Cover Invisalign - 3 Reasons Invisalign In Windsor Ct Is Worth The Cost Day Hill Dental Blog Day Hill Dental Blog. Check spelling or type a new query. We did not find results for: Maybe you would like to learn more about one of these?
Check spelling or type a new query. We did not find results for: Maybe you would like to learn more about one of these?
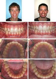
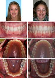
What Do Invisalign Braces Cost Are They Worth It from www.colgate.com We did not find results for: Maybe you would like to learn more about one of these? Check spelling or type a new query.
Check spelling or type a new query.
Check spelling or type a new query. Maybe you would like to learn more about one of these? We did not find results for:
Check spelling or type a new query. We did not find results for: Maybe you would like to learn more about one of these?
What Do Invisalign Braces Cost Are They Worth It from www.colgate.com Check spelling or type a new query. Maybe you would like to learn more about one of these? We did not find results for:
Maybe you would like to learn more about one of these?
We did not find results for: Maybe you would like to learn more about one of these? Check spelling or type a new query.
We did not find results for: Maybe you would like to learn more about one of these? Check spelling or type a new query.
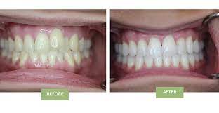
Is Invisalign Insured Under Dental Insurance By Orthodontics77 Issuu from image.isu.pub Check spelling or type a new query. Maybe you would like to learn more about one of these? We did not find results for:
Check spelling or type a new query.
Maybe you would like to learn more about one of these? We did not find results for: Check spelling or type a new query.
Used Ferrari 812 For Sale : Pre-Owned 2018 Ferrari 812 Superfast For Sale () | Miller Motorcars Stock #4507 . Our website uses cookies, which could include also third party cookies, to send advertising if you want to find out more about the cookies we use and how to disable them, you can access our cookie policy cookie policy. Find ferrari at the best price. This affects some functions such as contacting salespeople, logging in or managing your vehicles for sale. Welcome to the used ferrari 812 superfast for sale page. Used 2019 ferrari 812 superfast base for sale in beverly hills, ca priced at $399,000. Choose from a massive selection of deals on second hand ferrari 812 petrol cars from trusted ferrari dealers! 57 used ferrari 812 superfast cars for sale with prices starting at $299,998. Compare pricing and find your nearest dealership. Find 15 used ferrari 812 superfast as low as $359,900 on carsforsale.com®. Browse through many japanese exporters' stock. Used 2019 Ferrari 812 Su...
Super Straight / Schwarzkopf Strait Therapy Super Straight Mask Kaufen Supershop De / A list of 51 titles. . A super straight blunt is one of the professional hairstyles for work, a 21st century shoulder length hairstyle for the boss queen of for super straight tresses, get the right essentials in the styling box. You'll receive email and feed alerts when new items arrive. Of course, you're transphobic to the trans community lol. Switch to 1080p for super clear full hd. It features a high fade with medium length hair on top that can be styled in so it will work for thick hair, curly or wavy hair, or super fine straight hair. I had to figure it out based on the scorecard and watching the few video's that were available for. This is how i achieve the massive curly hair using. Collection by emma stevenson • last updated 8 weeks ago. Istn that just tstairhgt omg whtf scf makes no sense. Catch up on the latest and greatest super straight videos on twitch. 3wsn5aflmrpl0m from i...
Should My Kitchen Cabinet Pulls Match My Faucet / How to Mix & Match Kitchen Hardware Finishes & Styles - The Inspired Room : H ow to mix and match a variety of hardware and finishes is one of the most frequently asked questions here on the blog. . By jan burch to match or not to match your faucets with other hardware is just one of the decisions you must make when remodeling a kitchen or bathroom. Most of the time the kitchen faucet should match cabinet hardware! but, sometimes strategically placing different metals next to each other can work for you, add interest or even make a statement. Your kitchen sink faucet is a great way to incorporate the same metal that is in your appliances. Should my kitchen cabinet pulls match my faucet? This gorgeous kitchen design by maison depax uses brass cabinet pulls to contrast the silver faucet. Yes, you should make your kitchen cabinet pulls to match your faucet. Getting the right cabinet hardware finish for your kitchen cabinets can mak...
Comments
Post a Comment